Dental Bonding

Our doctors have done a significant amount of continuing education in dental bonding, otherwise known as composite bonding. It’s one of the procedures our practice has a particular passion for. 

While bonding is frequently used as a filling material on back teeth, when used appropriately, it can be layered in multiple shades to create seamless beauty on the front teeth. We often complete veneers out of bonding or composite material, which can be an additive procedure that does not require drilling of the teeth.

Whether you have one broken tooth that has been repaired with an unaesthetic single shade filling, or multiple teeth you desire esthetic changes to, dental bonding is a great alternative to porcelain veneers in the right situation.

before and after veneers restoration smile

Simply Beautiful

Michael is a busy man. He had bondings (composites) placed on his lateral incisors a few years back by another dentist. When he finally saw what I could do in one visit with no anesthesia needed, he was positively shocked. This kind of procedures are simple yet they require the dentist to have the knowledge and artistry to pull it off. These restorations are hand-made and crafted live. They can be done in one tooth, two teeth, four, eight… Whatever your goal is. It can change the way you look in one appointment.

before and after composite bonding

The Monday Morning

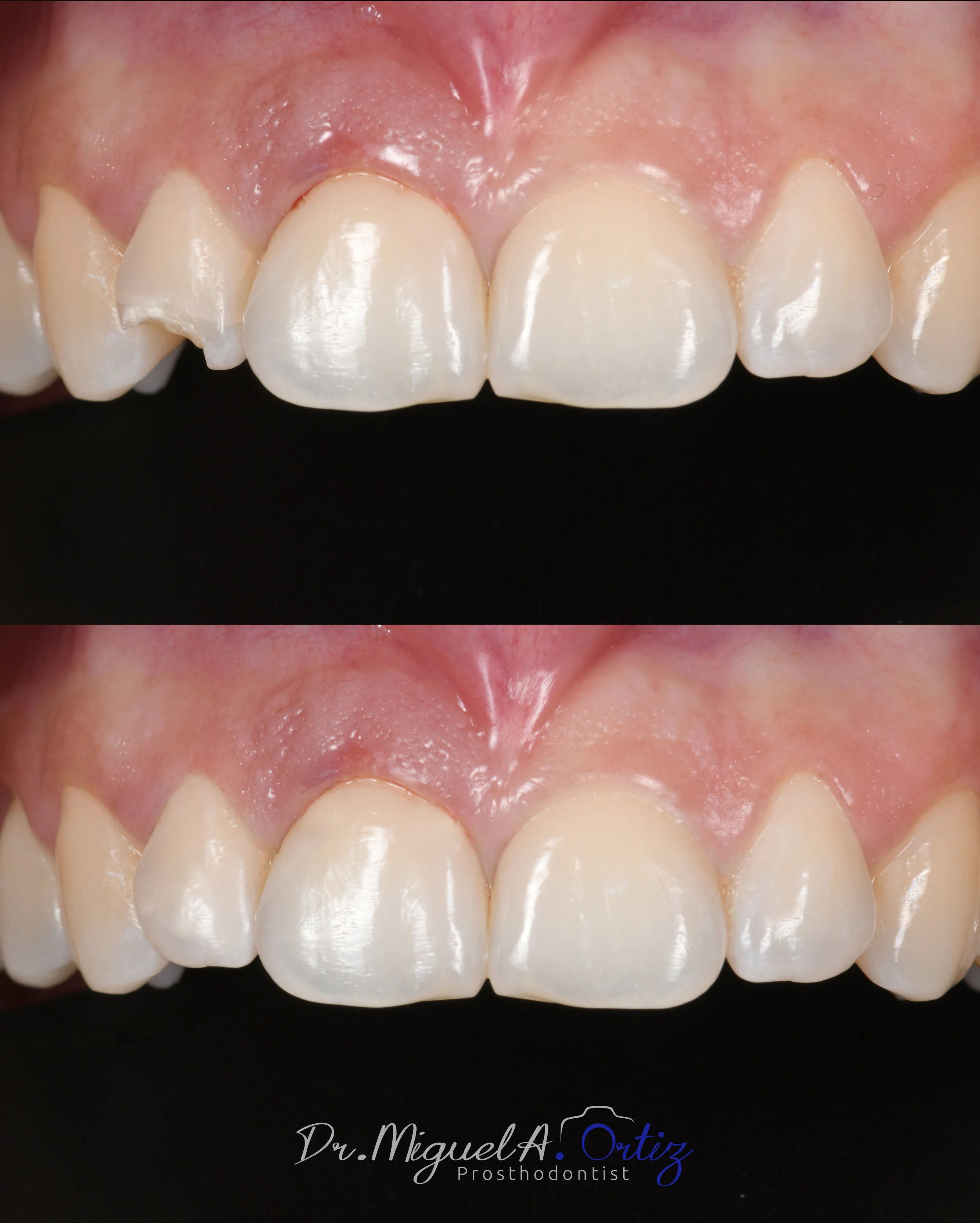
It was a Monday and Jessica (36) came to see me for the first time. For some reason, Monday mornings are busy days for us dentists. It could be a sports event, a camping trip, a barbecue with bonny food or a trip to the movies with an encounter with popcorn kernels. In her case, an accidental headbutt from her 2 year-old son breaking the lateral incisor. In one appointment I was able to evaluate her and offer her a set of options. Jessica decided that a composite bonding was right for her. Same day, no anesthesia, a long-lasting, natural-looking restoration was done.

before and after emergency tooth chipped restoration

Winter is coming

When Peter went out to shovel the snow, he wasn’t expecting to end up in my office. An icy New England driveway can do that to you. He fell and his tooth and lip suffered. Within 30 minutes he was in my office where I was able to fix the tooth and also help him with some minor stitches on the inside of the lip. Peter has become a friend of my family, including my children. Its been several years and the tooth still looks great today.