Smile Makeover

A smile makeover can be as minimal as whitening and some minor bonding to a few teeth, up to a full mouth makeover. Patients desiring changes to the overall appearance of their smile often require treatment to a number of teeth. If a significant shade change is made to the teeth with porcelain or composite material, you will likely need to treat the number of teeth that show when you smile. This is often between 8 and 12 top teeth.

There are likely a few options available to you if you are seeking a smile makeover. During a cosmetic consultation, you will be presented with a few options based on your smile goals, the current condition of your teeth, and your desired budget.

before and after crown and veneer restorations

Rebirth

Imagine you are 19 like Jane and life did not give you all the teeth at birth. Will you feel confident walking around with spaces showing when you smile? Jane was born without the lateral incisors. A common treatment in orthodontics is to move the canines towards the middle to close that space. In her case, this left a space where the canines would have been. At that point a dentist decided to put implants there. The result? Yellowish and dark canines and laterals. She had seen many dentists before she came to me. I remember her crying on her first appointment. She told me later, “I remember not hearing much from you on our first appointment, Dr. Ortiz, you were very quiet”. To which I replied, “you didn’t come to listen to me talk, you came here to be heard, so I listened.”

The results after a mix of crowns and veneers speak for themselves.

before and after crown with shade matching to existing teeth

Copy Nature

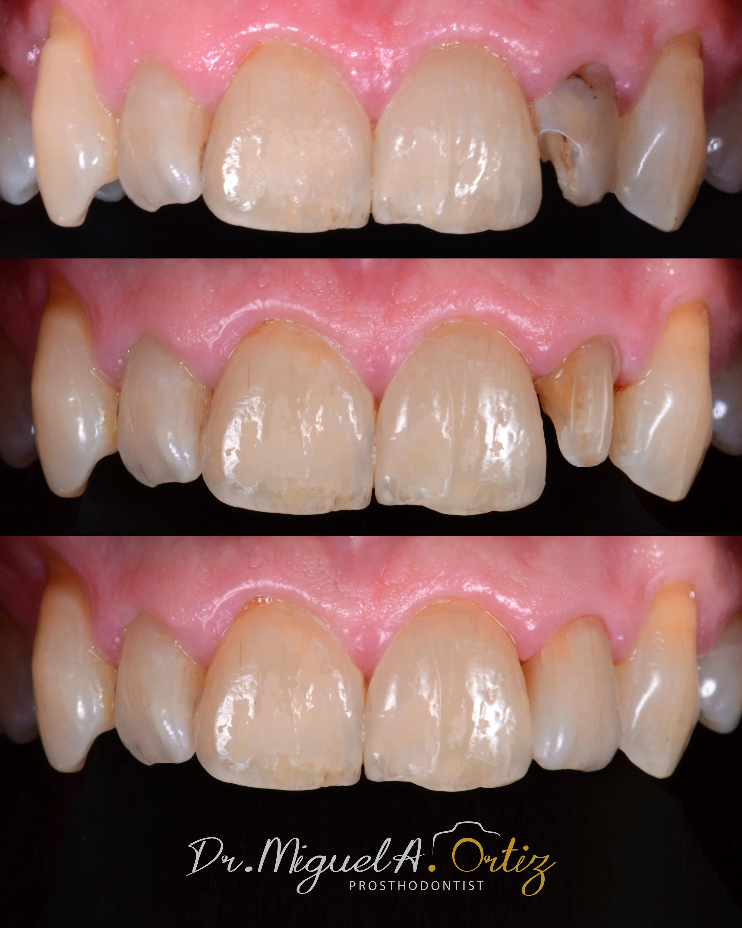
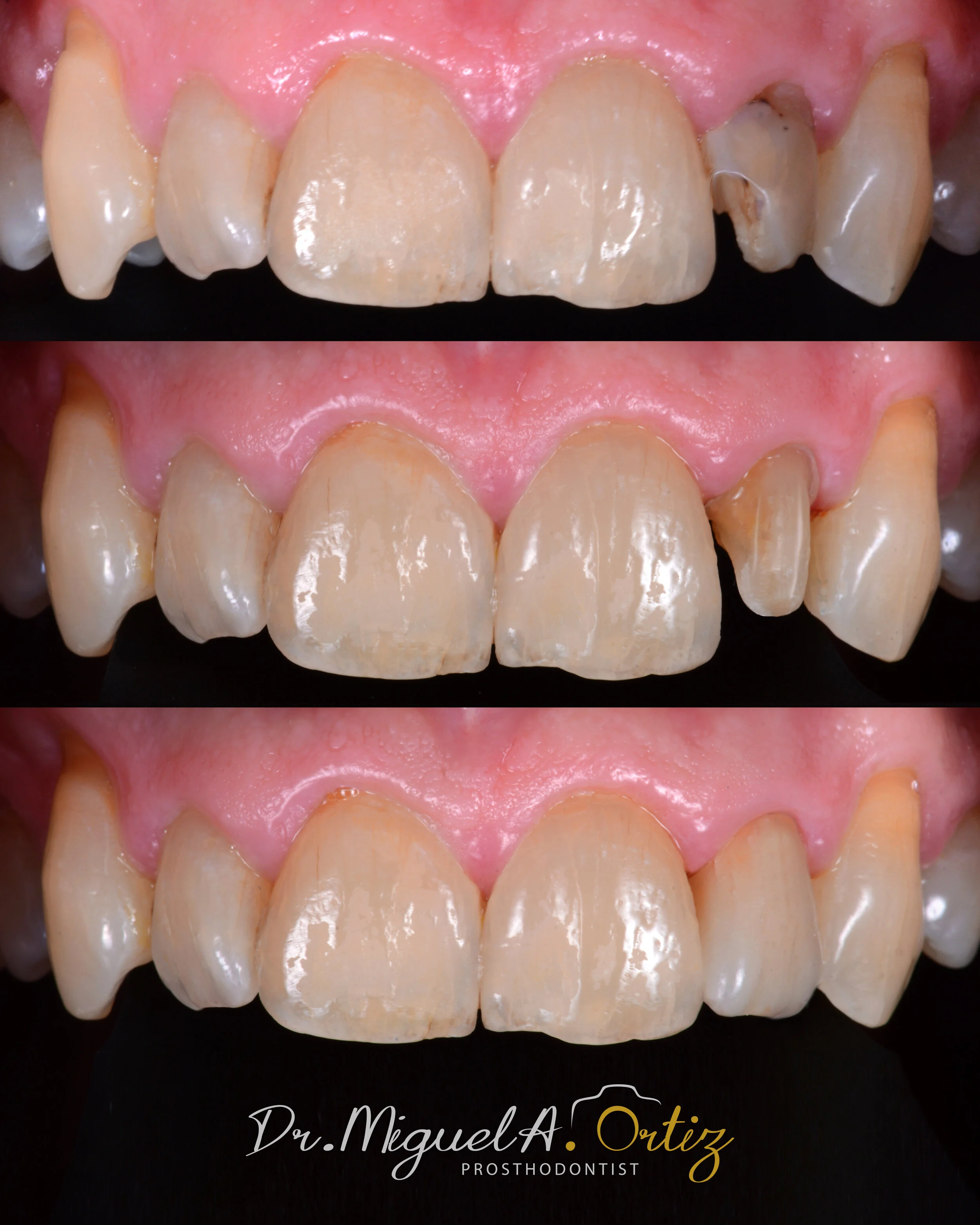
Not everyone has pearly white teeth. Natural aging of our dentition brings a yellowish tint to out teeth as well as some lines and cracks. As a prosthodontist and a cosmetic dentist, I am a proud listener of what my clients want and need. In this case, David (74), NEEDED a crown on the upper lateral incisor and he did not WANT bleaching or changing the appearance of his smile beyond that. By using one of the best dental ceramics in the world we were able to match the new crown to his existing teeth. As real as it could be. Naturally beautiful.