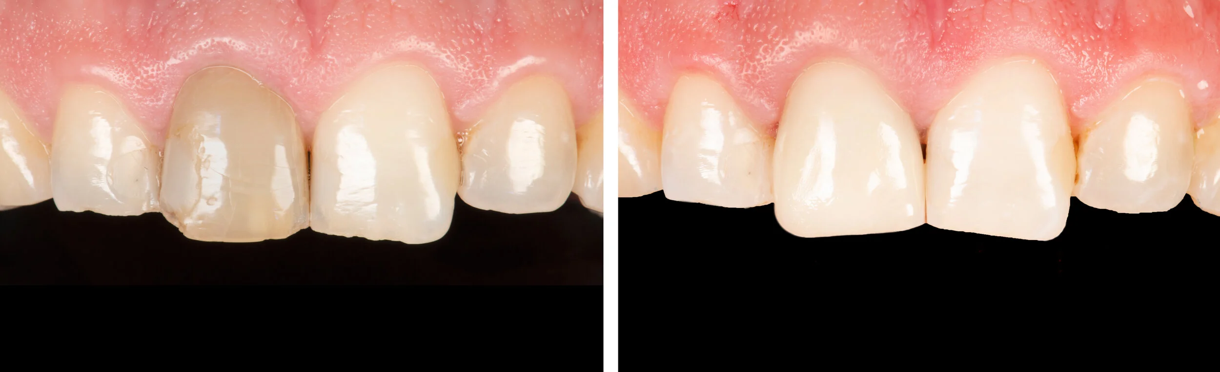
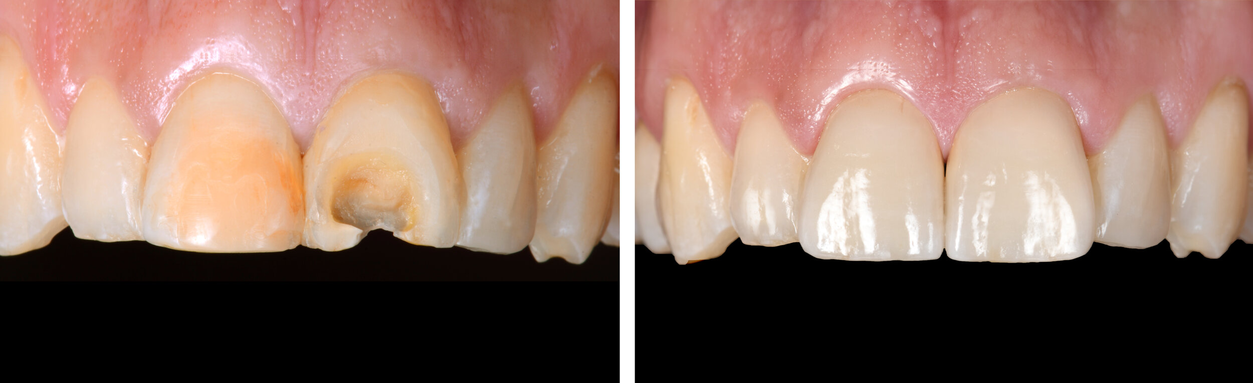
Dr. Miguel A. Ortiz and Dr. Chiara Castellucci put particular emphasis on maintaining and restoring the teeth to their natural form and function. We work as a team to create beautiful smiles for our patients.
OUR WORK
CONTACT
233 Boston Post Road
Wayland, MA 01778
508-358-2122
HOURS
Monday 8am - 5pm
Tuesday 8am - 5pm
Wednesday 8am - 5pm
Thursday 8am - 5pm